“拍照总抿嘴、聊天爱捂嘴,就怕别人盯着门牙的缝看。”口腔科门诊里,不少患者都有这样的烦恼。50岁的王女士曾经是社区广场舞领舞、联欢会主持人的“活跃分子”,却因为上门牙出现2毫米缝隙,渐渐变得不爱说话,连吃饭都常因食物嵌塞引发牙龈炎症。其实,中年门牙缝变宽的问题,靠全瓷微贴面技术就能轻松解决,下面,口腔科医生就从原因、方案到流程,一步步给大家讲清楚。
首先,为啥人到中年,门牙缝会越来越宽?根源其实在牙周的“退化”。临床检查发现,这并非个例:随着年龄增长,牙龈和牙槽骨会慢慢失去营养支撑,就像土壤退化后树木会松动一样,牙齿没了稳固的“地基”,会悄悄向两侧移位,原本紧密的牙缝自然就变宽了。
这可不光是影响美观:牙缝里容易嵌塞食物残渣,刷牙很难清洁干净,会加重牙龈炎症,长期下来还可能导致牙齿松动。所以,一旦发现牙缝变宽,建议及时做口腔检查,明确牙槽骨的条件,别让问题越拖越严重。
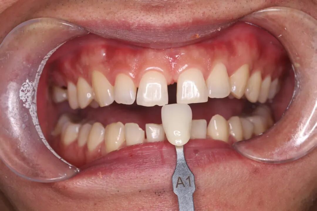
其次,有没有简单的解决办法?答案是肯定的。像王女士这样怕拔牙、怕戴牙套的情况,全瓷微贴面给出了微创解决方案,核心优势就在于“超薄、精准、微创”,具体可以从三个维度理解:
1. 材料特性:用高强度全瓷材料制作,厚度只有0.2-0.5毫米,比一张信用卡还薄,能完美贴合牙齿表面,而且色泽和天然牙高度匹配,修复后几乎看不出痕迹。
2. 修复原理:不用拔牙,也不用磨除大量牙体组织,只需要在牙齿表面轻轻打磨一层薄釉质,再通过专用黏合剂,把定制好的瓷贴面精准粘贴在牙缝位置——就像给牙齿“穿了件超薄瓷衣”,直接把缝隙闭合。
3. 数字化加持:借助DSD数字化微笑设计系统,能提前扫描牙齿数据,在电脑上模拟出修复后的效果,让你直观看到牙缝闭合的样子,再根据模拟结果定制瓷贴面,确保修复效果符合预期。
最后,修复流程复杂吗?王女士的经历就很有说服力,整个流程分两步,全程只需要两次就诊,非常便捷:
1. 首次就诊(方案定制):先完成口腔清洁和CT检查,再用数字化设备扫描牙齿数据,通过DSD系统设计修复方案并模拟效果,同时匹配牙齿颜色,之后把数据发送到加工室定制瓷贴面,周期大概7-10天。
2. 二次就诊(贴面粘贴):先清洁牙齿表面,用比色仪再次确认颜色匹配度,接着把定制好的瓷贴面精准对准牙缝位置粘贴,用蓝光照射让黏合剂固化,最后打磨边缘确保光滑。整个操作大约2小时,术后就能正常吃软食,完全不影响日常生活。
如今,王女士已经重新回到了广场舞队和合唱团,笑容舒展又自信。其实,中年门牙缝变宽并不可怕,选对全瓷微贴面这样的微创技术,就能轻松摆脱困扰,重拾灿烂笑容。
院内新闻
致命感染丨从牙疼到生死一线!西安市红会医院多学科协作成功挽救危重患者
2025-10-16精准康复丨西安市红会医院新技术让术后“肩关节僵硬”重获自由
2025-10-16重拾笑容丨门牙缝变大影响颜值怎么办?三步轻松解决!
2025-10-16义诊预告丨西安市红会医院将开展“世界骨质疏松日”义诊活动
2025-10-15巡回医疗丨西安市红会医院巡回医疗队走进千阳县开展义诊帮扶活动
2025-10-15喜获佳绩|西安市红会医院科普作品荣获全国骨科科普大赛二等奖