
近日,西安市红会医院内镜中心主任施育鹏团队成功运用“超声引导下胃空肠吻合术”微创技术,为51岁的胰腺癌患者王女士重建了“生命通道”。王女士因肿瘤侵犯十二指肠导致肠腔狭窄,出现严重呕吐、腹胀和营养不良,且体质虚弱无法耐受传统开腹手术,治疗一度陷入困境。
与传统开腹或腹腔镜手术相比,超声引导下胃空肠吻合术创伤更小、恢复更快,为体质差、肿瘤晚期的患者提供了新的治疗希望。该技术避免了单纯肠减压导管仅能暂时缓解症状的问题,解决了患者的营养摄入难题。
术后当天,王女士即拔除鼻胃管,次日喝下第一口米汤时激动落泪:“终于能尝到食物的味道了!”一周后,她通过支架通道逐步恢复半流质饮食,体重开始回升,并顺利接受了后续抗肿瘤治疗。这一创新技术的成功应用,不仅提高了患者的生活质量,也为后续抗肿瘤治疗奠定了坚实基础。
无需开刀在超声实时影像的精准导航下,完成三个关键步骤
1. 精准定位:超声像“透视眼”一样清晰显示胃壁、空肠及周围血管,避开危险区域。
2. 微创穿刺: 在超声引导下完成胃与空肠的“隧道连接”,细针穿刺建立胃与空肠之间的通道,创伤仅如针孔大小。
3. 支架置入:在通道内放置可扩张支架,形成“人工桥梁”,让食物绕过梗阻部位直达肠道。 且可膨胀金属支架,瞬间撑开“营养输送专线”,食物绕过肿瘤梗阻区直达肠道。支架表面覆有防反流膜,降低胆汁反流风险,患者术后即刻感受“梗阻解除”的畅快。全程无切口、出血少,患者术后次日即可进食流质,迅速改善营养状态。

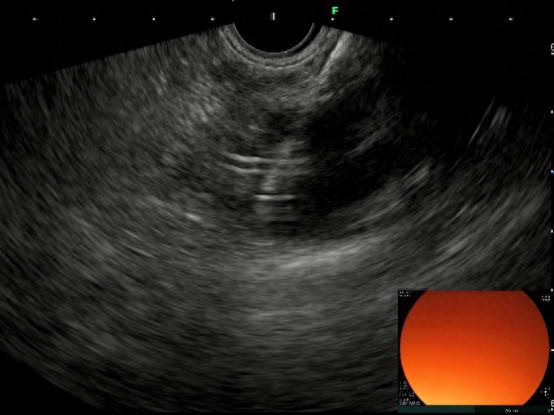
超声引导下细针穿刺

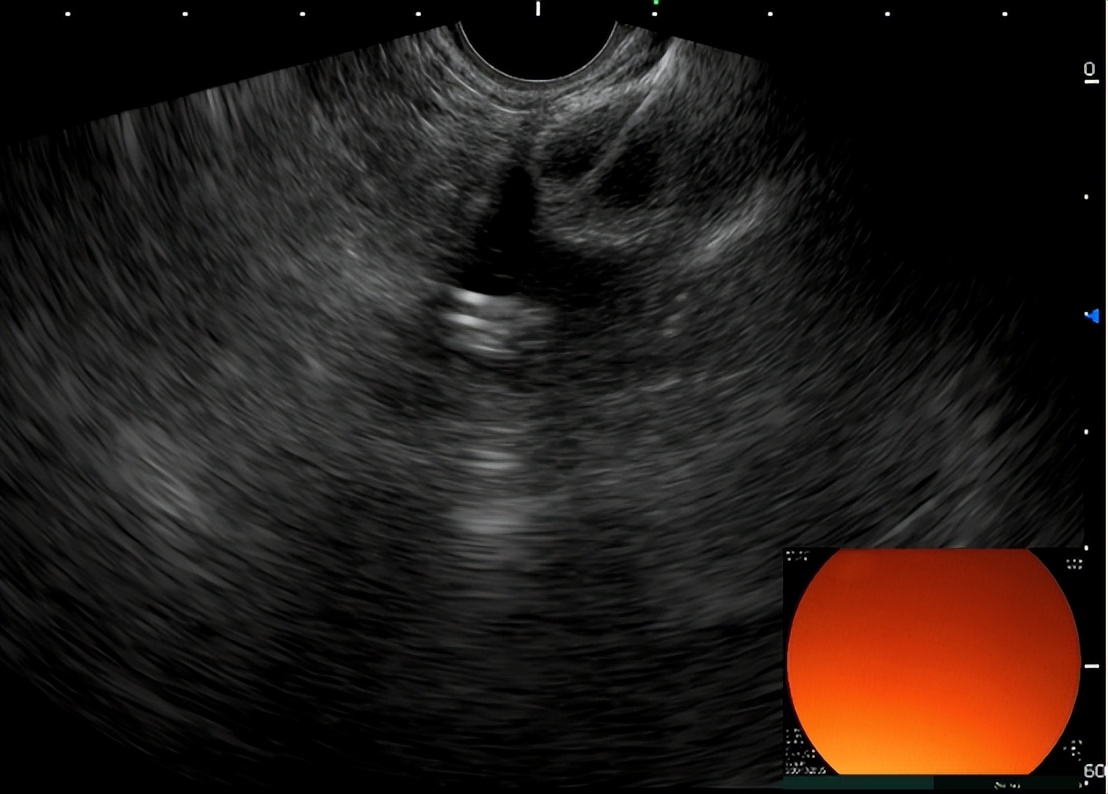
超声引导下置入胃空肠支架

胃空肠支架置入后观察
技术优势:小创伤,大获益
精准安全:超声实时监测,避免误伤血管和器官。
快速恢复:术后1-2天即可进食。
适用广泛:尤其适合高龄、体弱、肿瘤晚期等无法手术的患者。
医学的温度:对生命的温柔守护
对晚期肿瘤患者而言,治疗目标不仅是延长生存,更是改善生活质量。超声引导胃空肠吻合术通过微创方式化解梗阻,让患者告别“滴水难进”的痛苦,重获自主进食的能力。这种技术体现了现代医学从“大刀阔斧”到“精准微创”的进步,也为更多困境中的患者提供了新的选择。
超声引导下的胃空肠吻合术,以“针尖上的艺术”重新定义肠梗阻治疗——无需开膛破肚,不惧肿瘤封锁,红会医院消化内科南院区施育鹏主任团队用精准与微创为患者架起“看不见的生命之桥”。这不仅是技术的进步,更是医学对生命的温柔守护。
专家提醒:肠梗阻病因复杂,治疗方案需个体化制定。若出现持续呕吐、腹胀、无法排便等症状,务必及时就医,由多学科团队评估最优治疗方案。(卫晓康)
院内新闻
西安市红会医院召开新任、轮岗中层干部暨关键岗位人员警示教育培训会
2025-11-04健康警报丨突发胸闷心慌濒死感 竟是急性焦虑在作祟
2025-11-04义诊活动 | 西安红会医院专家赴周至县南大坪村进行重阳义诊
2025-11-04卷土重来 | 大龄患者垂体瘤复发 神经外科医生精准 “拆弹”
2025-11-04攻克难题 | 西安市红会医院成功为复杂冠脉病变患者实施ECMO支持下的介入手术
2025-11-04前沿聚焦|西安市红会医院受邀赴新加坡国际会议