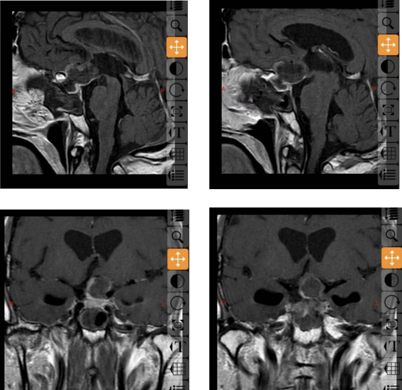
68岁的邓大叔是一位饱受垂体瘤困扰的“老战士”,11年前他经鼻行垂体瘤手术,几年后垂体瘤复发再次通过伽马刀治疗,经过两次历练后的他以为之后就可以高枕无忧,没想到近期的复查报告显示肿瘤“卷土重来”,且这次情况远比之前“棘手”,复发的肿瘤不仅从鞍内生长到鞍上,还与大脑的“生命线”——前交通动脉以及掌管意识记忆的三脑室底粘连紧密,甚至朝一侧颈内动脉上方生长,就像一颗埋在大脑深处的“不定时炸弹”,位置险要,结构复杂。
多方求医后邓大叔一家却陷入了更深的迷茫,有的医院建议开颅,有的则建议创伤更大的“开颅+经鼻联合入路”,对于一位年近古稀的老人来说,无论哪种方案都意味着巨大的创伤和漫长的恢复期,经朋友推荐,邓大叔找到了西安市红会医院神经外科的张治国主任团队。

这颗复杂的“炸弹”究竟该如何拆除?张治国主任仔细研究了邓大叔的病情后,提出了一个大胆的方案:再次施行经鼻蝶微创手术。
为什么选择微创路径
面对家属的疑问,张治国医生向家属耐心解释,这正是现代神经外科精准微创理念的体现。
经鼻直达病灶
经鼻蝶手术利用鼻腔的自然腔道,如同一条精准的隧道,直抵垂体瘤所在的“巢穴”,无需切开颅骨,最大程度避免了对脑组织的牵拉和损伤,这对高龄患者至关重要。
内镜明察秋毫
手术在高清内镜下进行,能将手术视野放大数十倍,照亮每一个角落,这让医生能清晰分辨肿瘤与周边重要的血管、神经,在毫厘之间进行精准剥离,极大地提升了手术的安全性。
精准神经导航
结合先进的神经导航系统,手术过程就像为医生配备了“GPS实时定位”,能够实时确认手术器械在颅内三维空间中的精确位置,确保在拆除“炸弹”的同时,完美避开所有“高危线路”。
高龄患者友好
相较于开颅,经鼻手术创伤小、出血少、术后疼痛轻、恢复速度快,能最大限度地保护高龄患者本就脆弱的身体机能,让他们有能力、有尊严地享受晚年生活。
经鼻镜下精准“拆弹”
最终,由张治国医生主刀,为邓大叔顺利实施了这例高难度的经鼻蝶微创手术,肿瘤被完整、精准地切除,紧密粘连的前交通动脉及三脑室底均保护完好。

术后邓大叔也恢复得很快,头痛等不适症状消失,精神状态良好,他对手术效果非常满意,这次成功的“精准拆弹”,为他扫清了安享幸福晚年的最大障碍。
高龄和病情复杂并不意味着失去了最佳治疗的机会,对于复发的垂体瘤,尤其是在影响到生活质量时,经鼻蝶微创手术在经验丰富的医生和先进技术的支持下,完全可以成为安全、有效的首选方案。积极寻求专业的神经外科团队进行个体化评估,选择最合适的治疗路径,是保障晚年生活质量的关键。
专家简介

张治国
神经外科(南院区)主任医师
神经外科博士,硕士生导师,副教授,原空军军医大学(第四军医大学)唐都医院神经外科微创手术组组长、垂体瘤及脑肿瘤专业组负责人。
博士导师为我国著名神经外科专家高国栋教授、博士后导师为我国神经外科奠基人马廉亭教授。多次在北京天坛医院、上海华山医院、北京宣武医院进修与交流。发表论著20余篇,其中以第一或通讯作者发表国际期刊 SCI 论文15篇。主持国家自然科学基金项目2项、主持中国博士后科学基金面上项目1项、陕西省自然科学基金1项,开展国际新技术2项;以主要完成人参加国家自然科学基金重点项目等多项重大课题。主编著作1部、参编国家十二五重点规划教材等著作4部。第一发明人申请发明专利1项、实用新型专利3项。
擅长:神经微创技术,尤其是神经内镜技术、神经显微技术、神经介入技术,治疗神经外科难度较大的颅底病变,包括脑肿瘤(垂体瘤、颅咽管瘤、脑膜瘤、听神经鞘瘤、胶质瘤、神经鞘瘤等);功能性脑疾病(三叉神经痛、面肌痉挛、阿尔兹海默症、脑瘫、癫痫等);脊髓电刺激治疗(顽固性疼痛、脊髓损伤、昏迷促醒、脑肌张力障碍、糖尿病足等);脊柱脊髓疾病(脊柱脊髓肿瘤、椎管狭窄、小脑扁桃体下疝、脊髓栓系等);外周神经疾病(外周神经损伤与修复、腕管综合征等)以及脑血管病(颅内动脉瘤、血管狭窄等)、脑外伤、脑积水、脑脊液鼻漏等。于第四军医大学唐都医院工作20余年,年独立完成神经外科三、四级手术400余台,技术全面。多次参加国内、国际学术会议并成果交流,获同行广泛认可。开展国际首例神经外科创新新技术2项。2017年获中华医学会神经外科手术比赛全国亚军,2019年获中华医学会神经外科手术比赛全国冠军,获得“平安中国好医生”称号,有着良好的患者口碑和声誉。
怎样和大咖面对面
快速挂号:微信搜索“西安市红会医院”公众号→下方点击“网络医院”→选“互联网医院”→点击“预约挂号”→选“南院区”→点击“外科”找到“神经外科”→选择“张治国”。
互联网医院问诊:同“快速挂号”,选择“张治国”后点击“图文咨询”即可。
住院:南院区1号楼20楼、门诊:南院区1号楼220诊室
院内新闻
健康警报丨突发胸闷心慌濒死感 竟是急性焦虑在作祟
2025-11-04义诊活动 | 西安红会医院专家赴周至县南大坪村进行重阳义诊
2025-11-04卷土重来 | 大龄患者垂体瘤复发 神经外科医生精准 “拆弹”
2025-11-04攻克难题 | 西安市红会医院成功为复杂冠脉病变患者实施ECMO支持下的介入手术
2025-11-04前沿聚焦|西安市红会医院受邀赴新加坡国际会议
2025-11-04质控先行丨西安市红会医院召开2025年第三季度病案质量管理委员会会议