为满足广大市民日益增长的内分泌与代谢性疾病诊疗需求。近日,西安市红会医院南院区内分泌代谢科已正式开诊。本门诊致力于为各类血糖异常、甲状腺疾病、生长发育问题及相关代谢紊乱患者,提供规范化诊疗与健康管理服务。科室特推出“开科送健康”每日义诊活动,此次每日义诊活…
10月15日至18日,中华医学会第十四次骨质疏松和骨矿盐疾病学术会议在青岛隆重召开。这场汇聚全国骨质疏松领域专家的学术盛会,注册人数超1700人。本次会议上,西安市红会医院骨质疏松科在曾玉红主任的带领下,一行5人参与了会议。据大会统计,在投稿数量排名中医院骨质疏松科位…
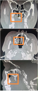
为进一步提升医护人员对CT增强扫描中过敏反应的应急处置能力,保障患者就医安全。近日,由西安市红会医院医务部、控制院内感染办公室、医学影像中心CT室共同组织,联合多个相关科室开展了一场过敏反应应急演练活动。演练模拟了一位患者在CT增强扫描过程中突发造影剂过敏反应的…
为进一步提升血透室护理团队专业技能与服务水平,强化操作规范并推动科室护理质量同质化发展。10月15日,西安市红会医院血液净化中心开展 “第一届血液净化操作技能大练兵” 活动。活动以 “夯实基础操作,提升透析质量” 为核心,围绕 “血液透析管路安装与预充”“中心静脉导…
骨质疏松症是一种以骨量减少、骨微结构破坏为特征的全身性骨病,其早期往往无明显症状,但其导致的骨折,尤其是髋部骨折,致残率和致死率极高,给社会带来沉重负担。我国人口老龄化日益严峻,骨质疏松症已经成为不容忽视的公共健康问题。老年人群因身机体功能衰退、平衡能力下…
10月15日,国际盲人节前夕,西安市红会医院运动医学中心义诊团队走进西安市盲哑学校,开展以“运动追光”为主题的盲童体重管理科普义诊,为孩子们带去专业的运动指导和健康关怀。此次活动由西安市红会运动医学诊疗中心主任医师张亮团队、护理部副主任马玉卓团队、儿童病医院护…
官方公众号
24小时服务中心电话: 029-83661911
门诊咨询电话: 029-83661911
医疗总值班电话:18009215686(北院区) 15129265553(南院区)
护理总值班电话:17392275334(北院区) 15029087631(南院区)
行政总值班电话:17392913614(北院区) 13892893540(南院区)
整治漠视群众利益问题举报电话:18802940643
官方微博