近日,西安市红会医院消化内科南院区成功为一名肥胖患者成功实施了胃减重支架(胃转流支架)置入术。该手术标志着医院在内镜介入减重领域的技术应用迈出了坚实一步,为区域内深受肥胖及相关代谢性疾病困扰的患者提供了一项全新的微创治疗选择。
我国肥胖患者越来越多,减重需求也越来越高,不仅仅因为大众对美的追求,更重要的原因是研究发现很多疾病与肥胖密切相关。自从国家卫生健康委面向公众发布的《体重管理指导原则(2024 年版)》以来,越来越多的患者来消化内科门诊咨询减重方案。目前肥胖的治疗方式很多,从生活方式调整到药物治疗,再到外科减重代谢手术及消化内镜减重技术,各有千秋。生活方式改变对于任何长期减肥策略来说都是至关重要的,但其单独应用的减重效果会随着时间推移和依从性的降低减弱。药物治疗受限于成本、副作用及依从性。外科减重代谢手术虽效果显著,但创伤大、并发症多,需严格把握适应证。幸而消化内镜技术的飞速发展给我们带来了新的选择,内镜下减重将减重手术带入超级微创时代,其中胃减重支架置入术成为治疗肥胖症的新宠。

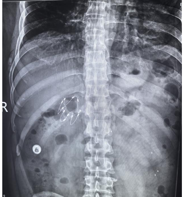
患者李先生,40岁,长期受肥胖困扰,BMI34.5kg/m2属中度肥胖,尝试多种减重方案均效果欠佳,经南院区消化内科团队评估后,认为其适合内镜下胃减重支架置入术。该微创介入技术无需开刀、创伤小、恢复快,且支架可日后取出。消化内科医疗团队与李先生及家人充分沟通后,决定于11月14日行胃减重支架置入术。手术仅用了20分钟左右,过程也并不复杂,术后李先生仅感咽部轻度不适。为避免早期并发症,医生耐心讲解并叮嘱李先生术后饮食需从流食逐渐过渡至普通饮食,目前患者一般情况良好,饮食、体重、副反应等关键指标实时监测中,预计3月后行胃镜下支架取出。

术后第1天复查支架位置良好
胃减重支架置入术也称内镜下十二指肠-空肠旁路套管置入术,其原理在于借鉴外科胃转流手术,通过胃镜在十二指肠及空肠上段置入一个60cm的管状套膜,隔离食物与消化酶的接触,改变了食物消化的时间及方式,从而减少食物吸收,一般在支架人体内留置3个月,之后通过胃镜取出,相关副反应可耐受。

减重原理:
1.术后正常饮食,但吸收减少了。
减重支架就像在肠道里放了个“管道”,吃下去的食物从这个管道里走,而负责消化食物的胆汁胰液在管道外面流。在很长一段路上,它们俩碰不着面,食物里的糖和脂肪没法被充分消化,吸收也就自然减少了,等于身体能“捞到”的营养变少了。
2.身体自己分泌“减肥激素”,不想多吃。
人体后段小肠和大肠里,有一种专门分泌“减肥激素”的细胞(L细胞)。支架放进去后,这些细胞能更早、更多地接触到食物,它们会大量分泌激素,让我们自然感觉没那么饿,不想多吃,同时还能降血糖,减肥效果就更好了。
3.肠子里的“好细菌”变多了,身体更健康。
肠道里的好细菌(益生菌)主要住在下半段。支架让很多没被消化的食物(相当于益生菌的“大餐”)直接送到了这里,好细菌大量生长,经过胆汁的筛选,能让好细菌里的“精兵强将”比例更高。它们比例一增加,好处可就多了——消化顺了,免疫力强了,连带着情绪都更加平稳,脑子也更清爽了。
该技术为以下人群提供了新的选择:

(具体适应症需由专业医生严格评估)
医院成功开展胃减重支架置入术,是肥胖症治疗领域的一项重要突破。此项技术为众多像李先生一样长期饱受肥胖困扰、传统减重方法效果不佳且畏惧外科手术创伤的患者,提供了一个全新的、更优的选择。它以其创伤小、恢复快、可逆性强的特点,显著提升了治疗的安全性与患者体验。这不仅体现了我们以患者为中心、不断追求技术创新的理念,更彰显了医院在多学科协作下,为复杂健康问题提供前沿、个性化解决方案的强大实力,为区域内的肥胖及相关代谢性疾病诊疗开启了新的篇章。

施育鹏
副主任医师
西安市红会医院内镜中心主任、消化内科南区负责人。
2020年由空军军医大学西京医院人才引进。
擅长:消化系统的常见多发病诊治:1.消化系统肿瘤的化疗、分子靶向、免疫治疗及个体化 治疗;2小肠疾病、不明原因的消化道出血的诊治;3、消化道早期癌的诊断及内镜下治疗;4、 胆胰疾病的诊断及治疗;5、内痔微创治疗、胃镜、结肠镜、十二指肠镜、小肠镜、超声内镜检查及内镜下治疗(EMR、ESD、ESE、ERCP、消化道狭窄支架植入、内镜下胃造瘘术 PEG、 经内镜TET管置入术、内镜下异物取出、止血、营养管置入、小肠减压管置入、吻合口狭窄扩张等);6、肥胖、顽固性便秘的肠菌移植(FMT)治疗。
学术任职:
中国抗癌协会肿瘤标志专业委员会委员
中国医学装备协会消化病学装备与技术分会委员
中国医药教育学会消化专业委员会青委 陕西省日间医疗学会青年分会副主委
陕西省医师协会内镜医师分会常委 《临床医学研究与实践》编委
中国抗癌协会肿瘤标志专业委员会CTC 技术专家委员会委员
陕西省抗癌协会胃肠间质瘤专业委员会委员 陕西省抗癌协会肿瘤综合治疗委员会委员
陕西省中西医学会消化内镜专委会委员 整合肿瘤临床免疫分会专业委员会委员 陕西省抗癌协会肿瘤内镜专委会委员
陕西省研究型医院学会消化内镜专业委员会委员 陕西省医师协会肝病专业委员会委员
陕西健康促进与教育协会消化委员会委员
陕西省抗癌协会整合肿瘤临床免疫分会委员
门诊时间:每周一上午 互联网医院(24小时线上就诊)

郭学刚教授
主任医师
红会医院消化内科首席专家,原西京医院消化病 医院消化六科主任,内镜中心主任。教授,博士生导师。
2020年由空军军医大学西京医院人才引进。
2014名医百强榜,2016获评国内医学十大新闻,2018、2019国之名医。
郭学刚教授长期从事临床一线工作,业务技术精湛,擅长消化内镜微创诊治技术和相关 临床研究,在消化内镜规范化培训、提高消化内镜病变发现率、开展消化内镜新技术等方面 取得一定成绩。应邀在第27届香港国际治疗内镜技术研讨会等国际、国内学术会议上进行 专题讲座和内镜操作现场演示达100余场。有较强的教学及科研能力,走遍全国进行内镜微 创治疗操作技术的专题讲座和手把手教学,建立 ERCP 培训基地,提出“ERCP 围手术期全 程管理体系”,举办ERCP 培训班,培养出来自31省的百余名高级内镜医师,在西京消化 科主任学习班授课59期,受训人数近万人。2013年7月在香港两岸三地内镜高峰论坛上做 为大陆唯一讲者做专题讲座、展示了我国大陆消化内镜技术的高超技术水平。2013年7月 26号解放军报就本人的高超内镜诊疗技术做了专题报道。2016年率领团队所做关于防治ERCP术后胰腺炎的临床研究发表在国际顶尖杂志柳叶刀(Lancet),获评国内医学十大新闻。先后承担国家自然科学基金8项,参与国家支撑计划1项,在研教育部卫生行业科研项 目1项。近五年以通讯作者或第一作者论文16篇,单篇影响因子最高达45.5分,论文发表 在Lancet 、AJG 、GUT 、CGH 、Endoscopy 、GIE 等专业学术期刊。担任副主编出版专著1 部,主译专著2部,其中《ERCP》译著已成为国内ERCP医生人手1册的重要专业参考书。 曾获第二届全国中青年消化学术研讨会二等奖1项,获解放军四总部颁发的教学银奖。本人 长期承担本科学员、研究生的教学任务,培养博/硕士研究生共21名。于2005年获解放军 四总部颁发的教学银奖。
学术任职:
中华医学会消化内镜学分会副主委 ERCP学组副组长
老年内镜协作组组长
中国医师协会内镜分会常委、消化内镜分会副主委、消化内镜培训学院院长
陕西省消化内镜分会主委
国家消化内镜质控专家组委员
中国非公立医疗机构消化内镜专委会副主委 中关村消化内镜技术创新战略联盟副理事长 中国医学装备协会消化分会副会长
全军消化专委会秘书长
世界华人消化医师协会委员 中华消化内镜杂志副主编等
门诊时间:每周四下午专家门诊

王东霞
主治医师
硕士研究生,毕业于大连医科大学。
擅长:消化道肿瘤、慢性病毒性肝炎、幽门螺杆菌感染、消化道溃疡、消化道出血、急慢性胃炎、慢性便秘、肠易激综合征、功能性消化不良、功能性腹胀、脂肪肝、急慢性胰腺炎等疾病的诊治。
学术任职:陕西省抗癌学会委员。
门诊时间:互联网医院(24 小时线上就诊)
院内新闻
红会医院以“防促结合”持续参与“369赶大集”获社区授誉
2026-01-22西安市红会医院提醒:雪天路滑,防摔伤是头等大事!
2026-01-08寒假招募丨儿童青少年脊柱侧弯与不良体态“医学矫正”冬令营
2025-12-05国家宪法日
2025-11-28进修学习丨西安市红会医院2025年秋季进修班圆满结业
2025-11-28换届启新程 质控聚合力丨西安市医学装备质量控制中心换届成立暨质控沙龙成功举办