
半年前, 49 岁的李女士发现鼻翼旁长了一颗直径约 5 毫米的色素痣,觉得影响美观,便在小区附近的美容店做了「药水点痣」。当时店员承诺「一次根除,不留疤痕」,可伤口愈合后周围还是有散在黑点,李女士又去找店家点了第二次,这次很干净,李女士当时觉得很满意。

但是 5 个月后,当初点痣的位置不仅重新长出了黑斑,还慢慢变大、颜色变深,偶尔还会发痒、脱皮,起初李女士以为是药水点痣效果不好,于是又做了一次激光点痣,没想到情况更糟——黑斑迅速蔓延,甚至出现了破溃、渗液的情况。
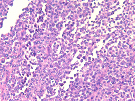
李女士心中害怕,赶忙来到西安市红会医院皮肤科与医疗美容科门诊就诊,医生在问清楚病史并行皮肤镜检测后,建议李女士手术切除并完善病理检查,很不幸的是,李女士最终被确诊为黑色素瘤,且已经出现了局部转移,需要进一步住院治疗。医生惋惜地告诉她,这颗看似普通的色素痣,本身就存在恶变倾向,而两次不规范的点痣操作,相当于「火上浇油」,反复刺激残留的痣细胞,加速了恶变进程。

可能很多人会疑惑,一颗小小的色素痣,怎么会和致命的黑色素瘤扯上关系?事实上,黑色素瘤虽然是一种罕见的恶性肿瘤,在我国每年新发病例不足 2 万例,发病率远低于肺癌、胃癌等常见癌症,但它的恶性程度极高,一旦发生转移,治疗难度会大幅增加。更值得警惕的是,由于这种疾病过于罕见,不少基层医生和非专业从业者,对其认知不足,很容易出现漏诊、误治的情况。
该图片有可能会引起不适 继续查看
但是也无需过度担忧,其实,绝大多数人身上的色素痣都是良性的,如同皮肤上的「小印记」,一辈子都不会惹事。但为什么说「色素痣不能乱治」,关键就在于「乱」这个字——不规范的去除方式,恰恰是诱发色素痣恶变的重要诱因。
生活中,很多人去除色素痣的方式都非常随意:在街边小店、美容院用药水点痣,自行网购祛痣膏、祛痣笔,在不具备正规资质的小诊所随意用激光汽化,还有人自己用指甲抠、刀片割,甚至用盐腌、发丝结扎的方式试图「根除」。这些做法看似简单、省钱,却隐藏着巨大风险。一方面,对于直径超过 2 毫米的色素痣,往往累及到真皮层,药水、激光等方式很难将其彻底清除,残留的痣细胞受到反复刺激后,就可能发生恶变;另一方面,有些看似普通的色素痣,本身就是早期黑色素瘤的雏形,非专业人士无法鉴别其良恶性,盲目去除后,不仅会导致病情延误,还可能加速癌细胞转移。

还有一种容易被忽视的情况:曾有患者在切除色素痣后,因未做病理检查,未能及时发现其恶变倾向,数月后出现转移才就诊,错过了最佳治疗时机。此外,不规范的去除操作还可能导致色素痣复发、遗留明显瘢痕等,不仅影响美观,还会给患者带来不必要的恐慌。


那么,身上的痣到底该怎么处理?
首先要明确:绝大多数痣不需要处理,尤其是从小就有、一直没变化、直径小于 2 毫米的痣。如果确实长在影响美观的位置,比如眼睑、鼻翼、唇边,想去除的话,唯一的正确选择是:去正规医院的皮肤科。
专业的皮肤科医生会用皮肤镜先看一看。这个像放大镜一样的仪器,能把皮肤表层的结构放大几十倍,初步判断痣的「性格」——是老实本分的普通痣,还是需要警惕的「问题户」。
如果决定去除,对于面部 2 mm 以下的色素痣(很多是黑子),可以考虑激光治疗;对于 2 mm 以上或位于易摩擦部位的色素痣,标准流程是手术切除,切下来的组织必须送病理科做病理检查。这不是小题大做,很多黑色素瘤从肉眼上看和普通痣几乎没有区别,只有在显微镜下才能看到细胞的异型性、核分裂象等恶变信号。有人会觉得为了一个小痣挨一刀,还要花几百上千块钱,太麻烦、太贵,但和李女士的代价相比,这一点点麻烦,是这世上最划算的保险。
最后,记住三个简单的自查要点,洗澡或照镜子时可以顺便看一眼:
第一看「长势」。过了 30 岁以后,如果身上突然冒出一个直径超过 6 毫米(大概铅笔橡皮头大小)的新「痣」,或者原来多年的老痣突然开始长大,别犹豫,去医院。
第二看「长相」。边缘变得参差不齐、像地图一样;颜色深浅不一,有黑有棕还有红白相间;左右两半不对称——这些都是需要警惕的信号。
第三看「脾气」。痣开始发痒、破皮、流血、结痂等,都不是好兆头。
黑色素瘤虽然凶险,但也是为数不多的「看得见、摸得着」的恶性肿瘤。它长在体表,给了我们早期发现的机会。如果能赶在它「发脾气」之前正确处理,仍有极高的治愈率。即使已经出现转移,今天的新药和新技术,也让越来越多的患者获得了长期生存的机会。
唯一不能做的
就是随便找个地方把它「点」了
院内新闻
2026年“民法典宣传月”
2026-05-28坚守亲清合作底线 共建清廉医疗生态 西安市红会医院召开第三方单位廉洁共建大会
2026-05-25医险融合新实践 服务惠民再升级 ——新华保险从业人员到西安市红会医院参观交流
2026-05-20西安市红会医院组织召开专题纪法 警示教育授课会
2026-05-08西安市红会医院2026年秋季进修班招生公告
2026-04-30新居焕新暖人心,两箱绿萝寄情深|康复神经脊柱病区喜迁新址,医患温情双向奔赴