
阳光讯(记者 郑亚雷 通讯员 曾雪琴)2月7日,61岁的广东游客何先生在翠华山景区游览时,因地面湿滑意外跌倒,右手撑地瞬间即感剧烈疼痛,手腕迅速肿胀变形,连握持手机都难以完成。何先生同行家人立即拨打急救电话,在景区工作人员协助下,何先生于伤后两小时内被紧急送至西安市红会医院手法复位室。
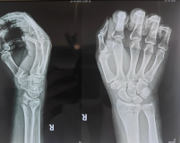
接诊的主治医师杜龙龙第一时间完成体格及X线影像检查,结果显示,右桡骨远端骨折,且骨折线已穿透关节面。关节面骨折如同精密齿轮错位,复位时哪怕1毫米的偏差,都可能留下腕关节僵硬、创伤性关节炎的后遗症。面对复杂病情,杜龙龙医师迅速联系科主任董博及副主任医师周健进行会诊。

考虑到何先生是远道而来的游客,若进行手术会打乱行程计划。经反复研读影像资料并评估骨折块完整性,专家团队认为,尽管骨折移位明显,但骨块相对完整,具备手法复位的“黄金条件”。最终,团队决定采用“闭合手法复位联合石膏外固定”方案,通过中医正骨“巧劲”实现精准对位,在避免手术创伤的同时,最大限度缩短治疗周期,为何先生后续康复及行程调整争取宝贵时间。“能保守复位就不手术!”董博主任的这句话,让焦虑不安的何先生吃下了一颗“定心丸”。

在充分告知并获得患者及家属知情同意后,杜龙龙主治医师在董博主任和周健副主任医师现场指导下,为何先生实施手法复位。凭借扎实的解剖知识与丰富的临床经验,团队精准把控复位力度与方向,通过轻柔而稳健的操作,逐步纠正骨折端的移位与畸形。整个过程流畅高效、一气呵成。复位完成后,复查X线片显示,骨折对位对线良好,关节面恢复平整,达到理想复位标准。何先生当即感到腕部疼痛显著缓解,扭曲的手腕形态恢复正常,对治疗效果连连称赞。
医疗团队还为何先生量身定制了一份“游客专属”康复指南,详细注明后续复查时间节点、远程咨询方式,并贴心推荐了附近适合康复期游览的平缓景点,让他在安心养伤的同时,仍能适度感受西安的人文魅力。
西安市红会医院手法复位室作为医院特色科室,在董博主任的带领下,始终致力于传承与创新中医正骨技术,秉持“微创、精准、高效”的治疗理念,年均完成复杂骨折闭合复位超2000例。此次救治,不仅彰显了科室在关节内骨折复位方面的高超技术实力,也体现了医院对游客等特殊群体的人文关怀与服务温度。
董博主任表示,相较于手术,手法复位不仅恢复快,更能有效保留关节原始解剖结构。未来,科室将持续探索中西医结合治疗新模式,让更多患者受益于“不开刀、少痛苦”的优质医疗服务,切实提升群众就医获得感与满意度。
院内新闻
2026年“民法典宣传月”
2026-05-28坚守亲清合作底线 共建清廉医疗生态 西安市红会医院召开第三方单位廉洁共建大会
2026-05-25医险融合新实践 服务惠民再升级 ——新华保险从业人员到西安市红会医院参观交流
2026-05-20西安市红会医院组织召开专题纪法 警示教育授课会
2026-05-08西安市红会医院2026年秋季进修班招生公告
2026-04-30新居焕新暖人心,两箱绿萝寄情深|康复神经脊柱病区喜迁新址,医患温情双向奔赴