
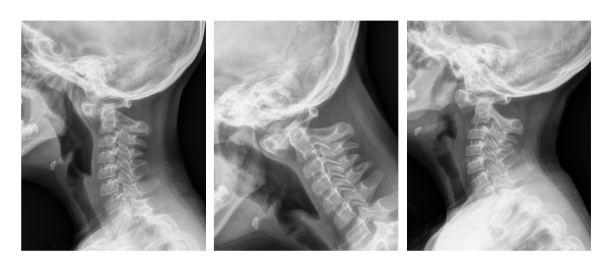
近日,西安市红会医院脊柱病医院许正伟主任的诊室,迎来了一位特殊的小患者—— 8 岁的唐氏综合征患儿康康(化名)。康康母亲满脸焦虑:孩子最近总是拿手抱着脖子,玩耍时也小心翼翼。经详细检查,一个隐藏在颈椎最深处的危险被揭示:寰枢椎完全脱位(图一)。这如同在生命中枢的「枢纽」上发生了致命偏移,随时可能压迫脊髓,导致瘫痪乃至呼吸心跳骤停。

据相关文献报道,唐氏综合征患儿因先天性韧带松弛、骨骼结构异常,合并寰枢椎不稳的风险较常人显著增高。而手术本身,更是脊柱外科领域公认的「皇冠上的明珠」:手术区域毗邻延髓生命中枢与椎动脉,操作空间以毫米计,稍有不慎便会造成不可逆的损伤。为这样一位特殊患儿实施手术,其难度与风险呈几何级数攀升。
面对挑战,许正伟主任团队在西安市红会医院脊柱病医院院长闫亮、学科带头人贺宝荣主任带领下,为康康制定了周密的个性化方案。术前,三维椎动脉 CTA 精准「测绘」出脱位的详情与椎动脉的走向(图二及图三)。由于患儿无法配合常规牵引,团队决定在术中实施高难度的颅骨牵引复位。


手术日,在麻醉与神经电生理监测团队的全程护航下,主刀医生许正伟主任首先巧妙利用颅骨牵引,为完全脱位的关节实现了初步松解与部分复位。随后,在高端术中导航系统( S 8 )的实时引导下,将椎弓根螺钉精准、安全地置入寰椎与枢椎的微小椎弓根内。利用螺钉提供的稳固杠杆,脱位的关节被轻柔而坚定地「推」回了正常解剖位置,实现了完美复位。最后,取自患儿自身的髂骨块被植入后方,为永久性骨融合打下基础。
术后影像显示:脱位完全矫正,内固定位置精确无误(图四)。次日,在康复师指导下,康康便戴着支具成功坐起。母亲眼中的担忧化为惊喜的泪光。术后第三天,引流管顺利拔除,伤口愈合良好。康康不再拿手抱着颈部,开始戴着支具下地(图五)。


「这类患儿的手术,是技术、耐心与担当的综合考验。」许正伟主任解释道,「他们无法配合术前牵引,术中复位难度极大;且骨骼细小,螺钉选择必须分毫不差。此次成功,依赖于团队丰富的经验、先进导航技术的加持以及为每一位患儿量身定制方案的理念。」
此例高难度手术的成功,不仅标志着西安市红会医院在「小儿脊柱畸形合并复杂上颈椎疾病」这一尖端领域达到国内先进水平,更生动诠释了医学的厚度与温度——用最顶尖的技术,为最脆弱的小生命,撑起一片坚实的未来。
院内新闻
2026年“民法典宣传月”
2026-05-28坚守亲清合作底线 共建清廉医疗生态 西安市红会医院召开第三方单位廉洁共建大会
2026-05-25医险融合新实践 服务惠民再升级 ——新华保险从业人员到西安市红会医院参观交流
2026-05-20西安市红会医院组织召开专题纪法 警示教育授课会
2026-05-08西安市红会医院2026年秋季进修班招生公告
2026-04-30新居焕新暖人心,两箱绿萝寄情深|康复神经脊柱病区喜迁新址,医患温情双向奔赴