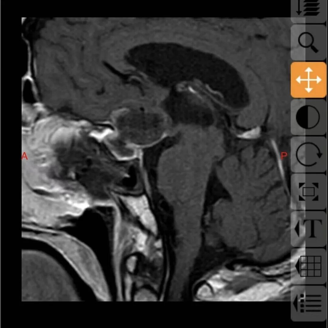
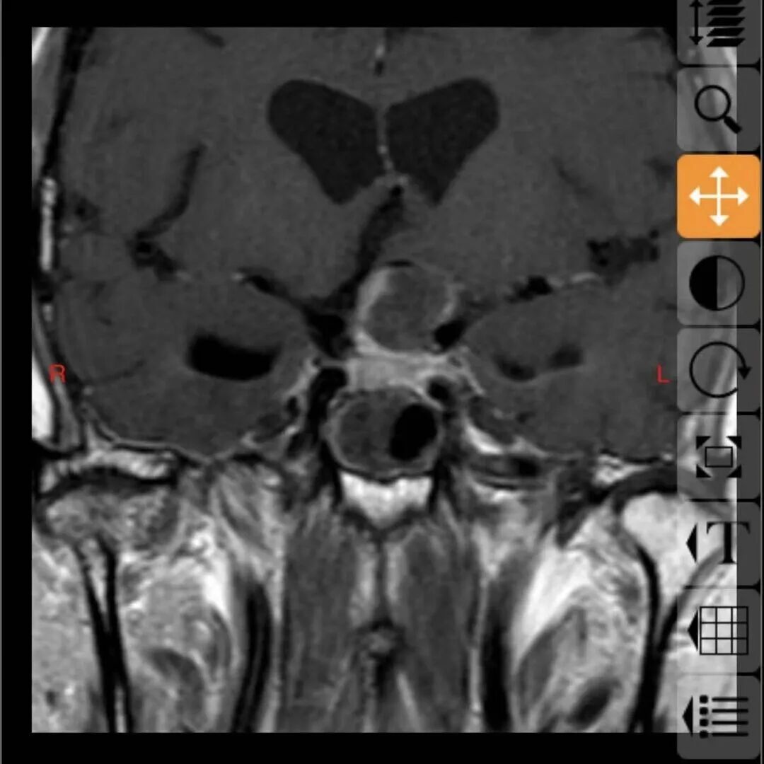
68岁的邓大叔是一位饱受垂体瘤困扰的“老战士”,11年前他经鼻行垂体瘤手术,几年后垂体瘤复发再次通过伽马刀治疗,经过两次历练后的他以为之后就可以高枕无忧,没想到近期的复查报告显示肿瘤“卷土重来”,且这次情况远比之前“棘手”,复发的肿瘤不仅从鞍内生长到鞍上,还与大脑的“生命线”——前交通动脉以及掌管意识记忆的三脑室底粘连紧密,甚至朝一侧颈内动脉上方生长,就像一颗埋在大脑深处的“不定时炸弹”,位置险要,结构复杂。


多方求医后邓大叔一家却陷入了更深的迷茫,有的医院建议开颅,有的则建议创伤更大的“开颅+经鼻联合入路”,对于一位年近古稀的老人来说,无论哪种方案都意味着巨大的创伤和漫长的恢复期,经朋友推荐,邓大叔找到了西安红会医院神经外科的张治国主任团队。
这颗复杂的“炸弹”究竟该如何拆除?张治国主任仔细研究了邓大叔的病情后,提出了一个大胆的方案:再次施行经鼻蝶微创手术。
面对家属的疑问,张治国医生向家属耐心解释,这正是现代神经外科精准微创理念的体现。
最终,由张治国主任主刀,为邓大叔顺利实施了这例高难度的经鼻蝶微创手术,肿瘤被完整、精准地切除,紧密粘连的前交通动脉及三脑室底均保护完好。




术后邓大叔也恢复得很快,头痛等不适症状消失,精神状态良好,他对手术效果非常满意,这次成功的“精准拆弹”,为他扫清了安享幸福晚年的最大障碍。
高龄和病情复杂并不意味着失去了最佳治疗的机会,对于复发的垂体瘤,尤其是在影响到生活质量时,经鼻蝶微创手术在经验丰富的医生和先进技术的支持下,完全可以成为安全、有效的首选方案。积极寻求专业的神经外科团队进行个体化评估,选择最合适的治疗路径,是保障晚年生活质量的关键。
神经外科(南院区)主任医师 神经外科博士,硕士生导师,副教授,原空军军医大学(第四军医大学)唐都医院神经外科微创手术组组长、垂体瘤及脑肿瘤专业组负责人。 博士导师为我国著名神经外科专家高国栋教授、博士后导师为我国神经外科奠基人马廉亭教授。多次在北京天坛医院、上海华山医院、北京宣武医院进修与交流。发表论著20余篇,其中以第一或通讯作者发表国际期刊 SCI 论文15篇。主持国家自然科学基金项目2项、主持中国博士后科学基金面上项目1项、陕西省自然科学基金1项,开展国际新技术2项;以主要完成人参加国家自然科学基金重点项目等多项重大课题。主编著作1部、参编国家十二五重点规划教材等著作4部。第一发明人申请发明专利1项、实用新型专利3项。 擅长神经微创技术,尤其是神经内镜技术、神经显微技术、神经介入技术,治疗神经外科难度较大的颅底病变,包括脑肿瘤(垂体瘤、颅咽管瘤、脑膜瘤、听神经鞘瘤、胶质瘤、神经鞘瘤等);功能性脑疾病(三叉神经痛、面肌痉挛、阿尔兹海默症、脑瘫、癫痫等);脊髓电刺激治疗(顽固性疼痛、脊髓损伤、昏迷促醒、脑肌张力障碍、糖尿病足等);脊柱脊髓疾病(脊柱脊髓肿瘤、椎管狭窄、小脑扁桃体下疝、脊髓栓系等);外周神经疾病(外周神经损伤与修复、腕管综合征等)以及脑血管病(颅内动脉瘤、血管狭窄等)、脑外伤、脑积水、脑脊液鼻漏等。于第四军医大学唐都医院工作20余年,年独立完成神经外科三、四级手术400余台,技术全面。多次参加国内、国际学术会议并成果交流,获同行广泛认可。开展国际首例神经外科创新新技术2项。2017年获中华医学会神经外科手术比赛全国亚军,2019年获中华医学会神经外科手术比赛全国冠军,获得“平安中国好医生”称号,有着良好的患者口碑和声誉。 互联网医院问诊:同“快速挂号”,选择“张治国”后点击“图文咨询”即可。 住院:南院区1号楼20楼、门诊:南院区1号楼220诊室
院内新闻
红会医院以“防促结合”持续参与“369赶大集”获社区授誉
2026-01-22西安市红会医院提醒:雪天路滑,防摔伤是头等大事!
2026-01-08寒假招募丨儿童青少年脊柱侧弯与不良体态“医学矫正”冬令营
2025-12-05国家宪法日
2025-11-28进修学习丨西安市红会医院2025年秋季进修班圆满结业
2025-11-28换届启新程 质控聚合力丨西安市医学装备质量控制中心换届成立暨质控沙龙成功举办