医院 医生 患者 党建 ENGLISH
logo
seach
首页 >新闻中心> 院内新闻 >正文

精准消融丨“一针”灭瘤!射频消融技术为肝癌患者打开“生命通道”

2025.09.19浏览量:

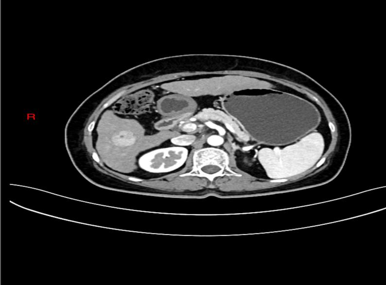
一个月前,张阿姨因在体检中发现甲胎蛋白(AFP)水平升高,来到西安市红会医院南院区消化内科就诊。施育鹏副主任医师团队高度重视,组织相关检查,明确诊断为原发性肝癌。病灶位于肝内,肿瘤直径小于3厘米,未见肝内其他部位转移或远处转移,属于早期肝癌,具备根治性治疗条件。

经充分评估,医疗团队向患者及家属详细介绍了治疗方案,包括外科手术切除和微创介入治疗。在充分沟通后,家属选择创伤更小、恢复更快的经皮经肝射频消融治疗。

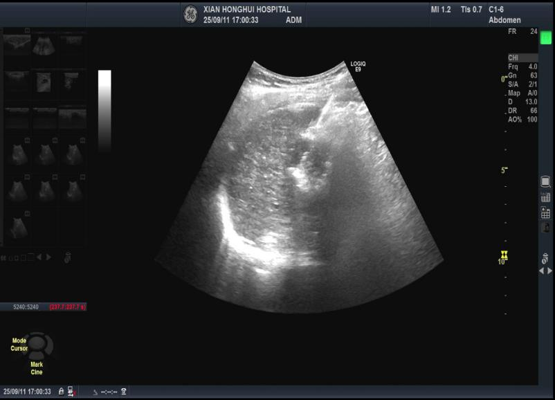
在施育鹏副主任医师的带领下,团队联合超声医学科专家,精准实施“经皮经肝射频消融术”。手术在超声引导下进行,定位精准,操作顺利,全程仅用20分钟,成功完成肿瘤消融,患者术后恢复良好。



肝肿瘤射频消融术(RAF)


是一种使用射频能量来消灭肿瘤的微创手术,医生在超声或CT引导下,将直径仅2毫米的射频电极针,经皮穿刺进入肿瘤组织,通过射频热能量将肿瘤“烧死”,从而达到杀死肿瘤的目的。射频消融治疗恶性肿瘤效果目前得到国际指南和国内指南的一致认可。同时在肝癌早期患者疗效显著,可与外科手术媲美。因患者局麻下便可手术,患者恢复快,肝功能影响小,治疗适应症广泛,体弱或者无法耐受麻醉,肝功能异常均可接受射频消融治疗。



RAF简要治疗流程:


1. 术前评估: 通过血液检查(肝功能、凝血功能等)和影像学检查(增强CT/MRI)明确肿瘤的大小、位置、数量以及与重要血管、胆管的关系,判断是否适合做RFA。


2. 麻醉: 通常采用局部麻醉联合静脉镇静,患者处于清醒但放松的状态,必要时也可全身麻醉。


3. 穿刺消融: 在超声或CT的实时监控下,医生将消融针穿刺至肿瘤内,打开针尖,开始发射射频能量。整个过程需要几分钟到十几分钟不等。


4. 术后处理: 拔针后压迫止血,患者需卧床休息数小时以观察有无并发症。



(肝癌增强CT影像)



(超声引导下肝癌的射频消融)



(肝癌射频消融简易图)




肝肿瘤射频消融的优点:







1.微创:与传统的手术方法相比,射频消融术只有一个针眼,因此对身体的创伤较小,痛苦小,恢复快。


2.精确:射频消融术使用精确的影像导航技术,可以在不损伤周围正常组织的情况下,精确地摧毁肿瘤。


3.高效:射频能量可以快速地产生高温,从而迅速摧毁肿瘤组织,对早期小肝癌的根治效果显著。


4.可重复性强:如果肿瘤复发或者出现新病灶,可以再次进行射频消融治疗。


5.保留肝功能:最大程度地摧毁肿瘤的同时,保留了更多的正常肝组织。


6.安全: 对全身影响小,尤其适用于不能耐受手术的老年患者和肝功能储备较差的患者。




哪些患者适合这项技术?




1. 原发性肝癌:

尤其是早期肝癌,因年老体弱、肝功能差、肿瘤位置特殊等原因无法进行手术切除的患者,RFA可以作为根治性治疗手段。对于单发直径≤5cm或肿瘤数目≤3个且最大直径≤3cm的肿瘤,效果可与手术相媲美。


2. 转移性肝癌:

最常见的是结直肠癌肝转移。当转移灶数量较少、体积较小时,RFA可以有效地局部控制病灶。


3. 为肝移植争取时间:

对于在等待肝源的患者,可用RFA控制肿瘤生长,防止其进展超出移植标准。


4. 姑息治疗:

对于晚期肿瘤,可用于减轻肿瘤负荷、缓解症状。




射频消融术后注意事项:



1.术后患者应禁食6小时,6小时后少量清淡流质饮食并逐渐增加至正常饮食。


2.卧床6小时,腹带加压穿刺点24小时,注意敷料渗血渗液情况,注意腹部体征,监测心率、血压。


3.可以下床活动后,活动时避免碰撞肝区,保持大便通畅,注意大便颜色有无发黑。


4.注意小便量有无减少,小便颜色有无加深,有无腹胀,有无双下肢水肿等情况。


5.注意有无发热,必要时予以抗生素治疗。














经皮经肝射频消融是一种成熟、有效的肝癌微创治疗技术。它作为手术切除的替代或补充方案,为无数无法手术的肝癌患者提供了新的治疗选择和治愈机会。具体是否适合采用这种疗法,需要由经验丰富的肝胆外科或介入科医生团队,根据患者的具体情况(肿瘤特点、肝功能、全身状况等)进行综合评估后决定。



专家简介


施育鹏

西安市红会医院内镜中心主任

消化内科南区负责人

2020年由空军军医大学西京医院人才引进

擅长:消化系统的常见多发病诊治:1.消化系统肿瘤的化疗、分子靶向、免疫治疗及个体化治疗;2小肠疾病、不明原因的消化道出血的诊治;3、消化道早期癌的诊断及内镜下治疗;4、 胆胰疾病的诊断及治疗;5、内痔微创治疗;胃镜、结肠镜、十二指肠镜、小肠镜、超声 内镜检查及内镜下治疗(EMR、ESD、ESE、ERCP、消化道狭窄支架植入、内镜下胃造瘘术PEG、 经内镜TET 管置入术、内镜下异物取出、止血、营养管置入、小肠减压管置入、吻合口狭窄扩张等);6、肥胖、顽固性便秘的肠菌移植(FMT)治疗。

学术任职:中国抗癌协会肿瘤标志专业委员会委员

中国医学装备协会消化病学装备与技术分会委员

中国医药教育学会消化专业委员会青委

陕西省日间医疗学会青年分会副主委

陕西省医师协会内镜医师分会常委《临床医学研究与实践》编委

中国抗癌协会肿瘤标志专业委员会CTC 技术专家委员会委员

陕西省抗癌协会胃肠间质瘤专业委员会委员

陕西省抗癌协会肿瘤综合治疗委员会委

陕西省中西医学会消化内镜专委会委员

陕西省抗癌协会肿瘤内镜专委会委员

陕西省研究型医院学会消化内镜专业委员会委员

陕西省医师协会肝病专业委员会委员

陕西健康促进与教育协会消化委员会委员

陕西省抗癌协会整合肿瘤临床免疫分会委员

门诊时间:每周一上午互联网医院(24小时线上就诊)


余天垒

医学硕士,西安市红会医院消化内科主治医生。2020年由空军军医大学西京医院人才引进。2022年全国介入年会TIPS 病例手术比赛第一名。2018年获军队科技进步三等奖。

擅长:主要从事消化系血管与肿瘤介入治疗的临床与研究工作,包括小肝癌的早期影像诊断,肝癌的肝动脉化疗栓塞和分子靶向治疗、经颈静脉肝内门腔分流术(TIPS)治疗肝硬化门脉高 压静脉曲张消化道出血和顽固性腹水、门静脉血栓和/或海绵样变性的多途径综合介入治疗、 布-卡氏综合症的介入治疗、经皮肝穿胆道引流术和支架植入术治疗梗阻性黄疸、左锁骨下

动脉药盒植入术治疗肝胆胰恶性肿瘤,以及消化道出血的血管造影诊断和介入治疗等,参加多个国内及国际大型临床试验项目。参与并发表多篇国内外论文。

学术任职:

陕西省抗癌学会委员,

陕西省中西医肝病学会委员,

陕西省中西医结合消化内镜专业学会委员。

门诊时间:每周一下午 互联网医院(24小时线上就诊)



方洒

医学硕士,现任西安市红会医院消化内科主治医师。 2020年由空军军医大学西京医院人才引进。

主要从事消化系统疾病的临床诊治和研究工作,住院医师规范化培训带教老师。2022年荣获消化疾病诊疗思维陕西省一等奖。擅长:内镜下胃息肉、结肠息肉切除术等微创操作,超声内镜诊断及治疗。对食管炎、胃炎、幽门螺杆菌相关性胃炎、消化不良、胃溃疡、胃食管反流病、便秘、神经内分泌肿瘤、溃疡性结肠炎、克罗恩病、病毒性肝炎、原发性胆汁性胆管炎、自身免疫系性肝炎、胰腺炎、肝癌、肝衰竭等消化系常见病及疑难疾病有丰富经验。以第一作者及通讯作者发表核心期刊论文及SCl 论文22篇,编者参与出版著作2015年《阅兵训练保健手册》、2024年《炎症性肠病疑难病例集》, 多次在全国消化系病年会发言,目前主持西安市卫生健康委员会临床科研项目一项。

学术任职:

陕西省抗癌协会肿瘤康复专业委员会委员

陕西省抗癌协会肿科普专业委员会委员

陕西省保健学会早癌筛查委员会委员西安医学会肝病学分会委员

门诊时间:每周二下午周三上午 互联网医院(24小时线上就诊)



张悦

医学硕士,西安市红会医院消化内科主治医师

擅长:对食管炎、胃炎、幽门螺杆菌相关性胃炎、消化不良、胃溃疡、胃食管反流病、便秘、神经内分泌肿瘤、溃疡性结肠炎、克罗恩病、病毒性肝炎、原发性胆汁性胆管炎、自身免疫 系性肝炎、胰腺炎、肝癌、肝衰竭等消化系常见病及疑难疾病有丰富经验。

学术任职:

陕西省抗癌学会委员。

陕西省日间医疗学会青年分会委员

门诊时间:互联网医院(24小时线上就诊)


院内新闻

上传您的简历
姓名
简历