2025年9月20日是第37个“全国爱牙日”,但是很多人觉得“牙疼不是病”,直到牙齿出现明显疼痛、松动才重视,却不知早已错过最佳治疗时机。以下结合真实病历,带大家看清口腔问题的“发展陷阱”,掌握护牙关键。
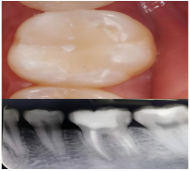
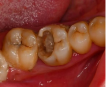
20岁的大学生小林一年前发现后牙出现一个小黑点,因无疼痛感,并未重视。三个月后,进食冷热食物时出现牙齿酸痛,仍未及时就医。直至上周,突发剧烈牙痛,夜间加重难以入睡,来到了西安市红会医院口腔科就诊。经X光片检查,医生发现该“小黑点”已深入牙神经,引发牙髓炎,必须进行根管治疗(俗称“杀神经”),治疗完成后,还需佩戴牙冠保护牙齿。
医生提醒:龋齿初期(只有小黑点、无疼痛)补牙仅需20-30分钟,费用低且无明显不适;一旦侵犯牙神经,不仅治疗复杂,牙齿还会因失去营养变得脆弱。
25岁的张先生长期在刷牙时出现牙龈出血,一直误以为是“上火”所致,偶尔使用漱口水缓解,从未进行过洗牙。一年后,他发现牙龈明显红肿,口臭加重,甚至在咬苹果时感到牙齿松动,来到了西安市红会医院口腔科就诊。经医生检查发现,张先生牙龈下堆积了大量牙结石,牙槽骨已出现吸收(牙齿“根基”变浅),最终被诊断为中度牙周炎。需通过“龈下刮治”清除深层结石,后续还要定期复查,否则牙齿可能进一步松动甚至脱落。
医生提醒:牙龈出血是牙周病的“早期信号”,并非“上火”,及时洗牙(每年1-2次)可预防;若拖到牙周炎,牙槽骨吸收不可逆,治疗难度和成本都会大幅增加。
01
正确刷牙:用“巴氏刷牙法”(刷毛与牙齿呈45°角,轻轻旋转刷牙),每次刷够2分钟,早晚各1次,别遗漏牙齿内侧和舌苔。
02
使用牙线+定期洗牙:每天用牙线清洁牙缝(牙刷刷不到的地方易藏食物残渣),每年到正规医院或诊所洗牙1-2次,清除刷牙无法去除的牙结石。
03
出现不适及时就医:只要出现“牙龈出血、牙齿敏感、口腔异味、牙齿有小黑点”中的任何一种情况,别拖延,尽早找牙医检查,避免小问题拖成“不可逆损伤”。
口腔健康直接影响吃饭、说话甚至颜值,别等疼到受不了才想起护牙。爱牙日不是“一天的事”,而是每天的“小事”——好好刷牙、定期检查,就是对牙齿最好的保护。
院内新闻
爱眼护眼 | 总觉得眼睛干?早检查才能早安心!
2025-10-20西安市红会医院院领导接待日公告(10.23)
2025-10-20健康惠民丨西安市红会医院南院区内分泌代谢科正式开诊并将开展系列义诊活动
2025-10-20再创佳绩丨西安市红会医院受邀参加中华医学会第33届CSIT医学影像技术学学术大会
2025-10-20专业精进|西安市红会医院受邀参加中华医学会骨质疏松和骨矿盐疾病学术会议
2025-10-20安全筑防丨西安市红会医院开展造影剂过敏反应应急演练