
近日,西安市红会医院神经外科北院区成功应用全国首创的“可视型球囊引流导管+术中C臂CT”微创技术,为一名47岁脑出血患者实施精准救治。这一技术的突破不仅填补了国内脑出血微创治疗领域的空白,更成为红会医院“大综合、 强骨科”战略发展的里程碑,彰显了医院在急危重症救治中的综合医疗实力。
技术突破:微创精准,30分钟清除颅内血肿
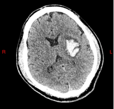
患者何先生(化名)因突发右侧偏瘫、失语紧急入院,CT显示其左侧基底节区脑出血量达20ml,病情危重。传统手术存在“盲穿”风险高、创伤大等问题,而红会医院神经外科别小华主任团队创新采用“可视导管+C臂CT导航”技术,实现全程可视化操作。

术前CT:清晰显示左侧基底节区20ml血肿
术中,团队通过导管内置高清摄像头精准避开血管,直达血肿中心,结合C臂CT实时导航动态调整穿刺路径,误差控制在1毫米以内。手术仅耗时30分钟,术后第3天患者语言功能明显恢复,右侧肌力显著改善,血肿清除率达95%。该技术的成功应用,标志着脑出血微创治疗迈入“精准、高效、安全”的新阶段。

术中导航:C臂CT三维成像锁定穿刺路径
技术里程碑:中国脑外科迈入精准微创时代
脑出血是我国致死致残率最高的疾病之一,年发病超200万例。传统开颅手术创伤大,恢复周期长,而普通穿刺术则因“盲穿”风险高而难以广泛应用,神经外科别小华主任介绍到:此次红会医院神经外科的创新结合影像导航与实时可视化技术,实现了对颅内血肿的“精准打击”,为脑出血治疗提供了全新范式。这一技术的成功应用,不仅极大地提高了手术的安全性和有效性,更为广大脑出血患者带来了新的治疗希望和福音。

可视导管:镜下避开血管,直达血肿中心
以患者为中心,技术落地见实效
“手术创伤小、恢复快,术后三天就能开口说话!”患者家属的反馈印证了技术的临床价值。红会医院始终将患者需求放在首位:
微创技术:手术切口仅2cm,减少组织损伤;
快速康复:早期介入康复训练,缩短住院时间;
人文关怀:多学科团队全程跟进,提供身心全面照护。

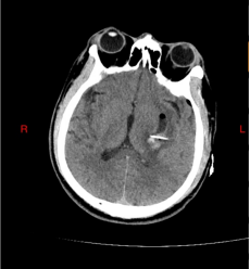
术后对比:血肿清除率达95%,脑组织压迫解除
从“强骨科”到“大综合”,西安市红会医院以技术创新为驱动,以患者获益为目标,不断突破医疗边界。此次脑出血微创技术的成功应用,不仅为患者带来更优治疗方案,也为医院高质量发展注入新动能。未来,红会医院将继续以骨科优势为基石,推动综合学科协同发展,为健康中国建设贡献更大力量。
院内新闻
西安市红会医院召开新任、轮岗中层干部暨关键岗位人员警示教育培训会
2025-11-04健康警报丨突发胸闷心慌濒死感 竟是急性焦虑在作祟
2025-11-04义诊活动 | 西安红会医院专家赴周至县南大坪村进行重阳义诊
2025-11-04卷土重来 | 大龄患者垂体瘤复发 神经外科医生精准 “拆弹”
2025-11-04攻克难题 | 西安市红会医院成功为复杂冠脉病变患者实施ECMO支持下的介入手术
2025-11-04前沿聚焦|西安市红会医院受邀赴新加坡国际会议