83岁的张奶奶因腰痛伴下肢抽痛,在当地医院住院治疗。住院期间,她反复发热,最高体温达到39.6℃。经过详细检查,医生初步诊断为“急性肾盂肾炎”和“腰椎间盘突出”。随后,医院给予抗感染、止痛以及针灸等对症治疗,虽然体温逐渐得到控制,但张奶奶的腰痛症状却日益加重。
近日,为了进一步诊治,张奶奶的家人带她转院至西安市红会医院。在进行腰椎核磁检查后,发现胸10至腰5椎体水平存在“硬膜外脓肿”。随后,张奶奶被转入感染科接受更专业的治疗。
收治入院后感染科积极安排超声引导下腰背部软组织积液穿刺,抽出淡红色液体0.5ml,细菌培养提示金黄色葡萄球菌。经过2个月的针对性抗感染治疗,张奶奶的腰痛症状逐渐好转,从最开始的翻身困难、下肢抽痛,到行走自如。期间动态复查腰椎核磁,可见脓肿逐渐吸收,出院后3个月张奶奶再次来复查,脓肿已完全吸收,张奶奶的生活回到正轨!
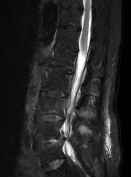
![[4]image.png.png [4]image.png.png](/upload/202503/05/2025030509195344827.png)
治疗前
![[5]image.png.png [5]image.png.png](/upload/202503/05/2025030509195999884.png)
治疗2周
![[6]image.png.png [6]image.png.png](/upload/202503/05/2025030509200453062.png)
治疗5周
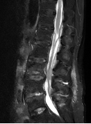
![[7]image.png.png [7]image.png.png](/upload/202503/05/2025030509201349418.png)
出院后3个月
什么是硬膜外脓肿?
硬膜外脓肿是由于细菌、真菌等病原体侵入硬膜外间隙,引起局部化脓性感染并形成脓肿,是一种罕见的感染性疾病,脓肿会压迫脊髓和神经根,导致疼痛、麻木、无力,甚至瘫痪。
感染可能通过以下几种途径发生
1. 血行传播:身体其他部位的感染通过血液传播到硬膜外腔。
2.临近组织感染扩散:邻近组织的感染(如椎间盘炎、脊椎骨髓炎、腰大肌脓肿等)直接蔓延至硬膜外腔。
3. 医源性因素:脊柱手术、腰椎穿刺、硬膜外麻醉等操作,可能将细菌带入硬膜外间隙。
4.其他:糖尿病、免疫力低下、静脉吸毒等是硬膜外脓肿发病的高危因素。
硬膜外脓肿的症状
硬膜外脓肿的症状多样,早期可能仅表现为发热、背痛等非特异性症状,容易误诊。随着病情进展,可能出现:
剧烈背痛:最常见的症状,疼痛部位与脓肿位置相关,常伴有局部压痛和叩击痛。
神经根刺激症状:放射性疼痛、麻木、感觉异常等。
脊髓压迫症状:下肢无力、行走困难、大小便失禁,甚至完全瘫痪。
全身症状:发热、寒战、乏力等感染中毒症状。
硬膜外脓肿的诊断
影像学检查:MRI是诊断硬膜外脓肿的首选方法,可以清晰显示脓肿的位置、范围以及脊髓受压情况。
实验室检查:血常规、C反应蛋白、血沉等炎症指标升高。
病原学检查:血培养、脓液培养等有助于明确病原体,指导抗生素治疗。
硬膜外脓肿的治疗
硬膜外脓肿的治疗原则是尽早诊断、尽早治疗,以防止不可逆的神经功能损伤。
药物治疗:早期、足量、足疗程使用敏感抗生素是治疗的关键。
手术治疗:对于脓肿较大、脊髓压迫症状明显、药物治疗效果不佳的患者,需要及时进行手术引流减压。
支持治疗:包括疼痛管理、卧床休息和物理治疗等。
治疗难点
1. 早期诊断困难:硬膜外脓肿的症状(如腰痛、发热、神经功能障碍)缺乏特异性,容易与其他疾病混淆。
2. 病原体鉴定:有时难以通过穿刺获得足够的样本进行病原体培养,影响抗生素的选择。
3. 长期治疗:抗生素治疗需要持续较长时间,患者依从性和药物副作用是治疗中的挑战。
硬膜外脓肿虽然罕见,但一旦发生,可能对患者的健康造成严重威胁。早期诊断、及时治疗和严格的随访是确保良好预后的关键。对于出现不明原因腰痛的患者,尤其是伴有发热或神经功能障碍时,应高度警惕硬膜外脓肿的可能性,及时就医。
西安市红会医院感染科已成立组织“骨与软组织感染专病门诊”,专注于各类骨与软组织感染的诊断与治疗,包括丹毒、蜂窝织炎、急性骨髓炎、慢性骨髓炎、化脓性关节炎、糖尿病足感染、术后切口感染、褥疮感染等复杂难治性感染。结合医院的骨科优势,依托医院先进的微生物实验室和影像学检查设备,与关节科、脊柱外科、骨显微修复外科、创伤科、骨病肿瘤科、皮肤科、影像科、药学部等多学科紧密合作,为复杂难治性骨与软组织感染患者提供全方位、多角度的诊疗服务,减轻了患者为明确诊断及治疗多方奔走求医的苦恼。
专家介绍
![[9]图片 1.png.png [9]图片 1.png.png](/upload/202503/05/2025030509202691503.png)
王军宁
感染科主任
副主任医师,医学硕士
毕业于第四军医大学内科学(感染病学)
2015年7月-2023年11月,西安市红会医院呼吸内科;
2017年于唐都医院呼吸与危重症医学科进修学习1年;2022年参加陕西省传染病骨干医师培训1年;
中华医学会感染病分会委员;
陕西省感染病质控中心委员;
陕西省医师协会感染病专科联盟委员;
陕西省保健协会呼吸病学专业委员会委员;
陕西省保健协会老年医学委员会委员。
![[10]图片 2.png.png [10]图片 2.png.png](/upload/202503/05/2025030509204335639.png)
周玖琴
医学硕士
以第一作者发表SCI一篇,擅长乙肝、丙肝诊治,常见呼吸道、消化道、泌尿道感染方面诊治,骨、关节、软组织感染方面的诊治。
院内新闻
【科室调整通知】原康复医院疼痛科升级为中医药特色诊疗中心中医疼痛科,挂号指南看这里!
2026-01-27红会医院以“防促结合”持续参与“369赶大集”获社区授誉
2026-01-22西安市红会医院提醒:雪天路滑,防摔伤是头等大事!
2026-01-08寒假招募丨儿童青少年脊柱侧弯与不良体态“医学矫正”冬令营
2025-12-05国家宪法日
2025-11-28进修学习丨西安市红会医院2025年秋季进修班圆满结业