近日,西安市红会医院心血管内科程功主任团队成功为一位有消化道出血病史、低体重的60岁房颤患者实施了ICE指导下左心耳封堵术,植入左心耳封堵器1枚,这次手术也成功展示了西安市红会医院心血管疾病治疗领域的专业实力和创新精神,也为更多房颤患者带来了希望和福音。
![[5]图片.png [5]图片.png](/upload/202412/06/2024120616282825591.png)
右:郭尧章主治医师,中:程功主任医师,左:钱盾副主任医师
患者吴女士房颤病史10余年,既往曾因“消化道出血”诊断胃癌,随后行胃大部切除术及化疗,现体重也较前明显下降。曾因房颤辗转当地多家医院,均向吴女士家属告知卒中风险高。吴女士怀着忐忑的心情来到西安市红会医院心血管内科,经过心血管疾病诊疗中心团队反复讨论,并与吴女士及其家属深入沟通后,决定进行ICE指导下左心耳封堵手术。
![[6]图片.png [6]图片.png](/upload/202412/06/2024120616283642976.png)
术前房颤心电图
左心耳封堵手术:对于高栓塞风险、高出血风险的房颤患者是最佳选择。
在术前评估中,专家团队发现吴女士的左心耳开口结构复杂,心耳低位菜花型,上缘中部有较深压脊,手术难度较大。经过充分讨论,最终选择了新一代左心耳封堵器进行手术。该治疗方法具有更好的精准性和安全性,能够快速实现内皮化,减少长时间抗凝带来的出血风险。
![[7]图片.png [7]图片.png](/upload/202412/06/2024120616284293921.png)
术前CT三维重建分析
术中ICE下测量心耳开口21.8mm,深度23.8mm,DSA下造影测量左心耳开口24mm,深度27mm,上下缘不对称,最终选择27mm的新一代封堵器进行封堵,一次展开即可达到一个非常好的封堵效果,封堵器与左心耳紧密贴合,形态、位置良好,无残余漏。
![[8]图片.png [8]图片.png](/upload/202412/06/2024120616285773525.png)
肝位下测量心耳开口、深度
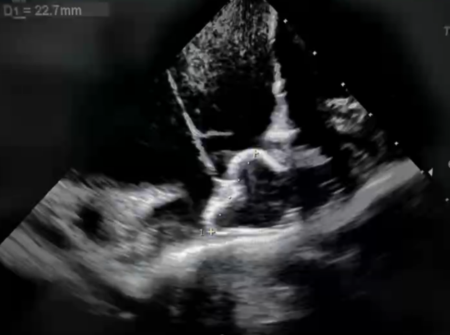
![[11]图片.png [11]图片.png](/upload/202412/06/2024120616291556963.png)
ICE下封堵效果好,压缩比16%
程功主任采用退鞘法展开,展开全程关注ICE下影像,并给予整体系统逆时针力,在尽可能封堵上缘的同时减少下缘露肩,而封堵器的极佳顺应性也充分利用心耳内可用空间,实现了完美封堵,术中评估良好,满足PASS原则,选择释放封堵器,成功封堵。
在专家团队娴熟默契的配合下,手术仅用60分钟就顺利完成。这次手术的成功不仅为患者撑起了一把预防心源性脑中风的“保护伞”,也意味着西安市红会医院在房颤治疗领域迈出了坚实的一步,心血管疾病诊疗中心将不断为患者提供更安全、更灵活的手术选择,给广大房颤患者的卒中预防带来更多福音。
院内新闻
西安市红会医院2026年秋季进修班招生公告
2026-04-30新居焕新暖人心,两箱绿萝寄情深|康复神经脊柱病区喜迁新址,医患温情双向奔赴
2026-04-29西安市红会医院2026年度政工专业任职资格参评人员名单公示
2026-04-14【科室调整通知】原康复医院疼痛科升级为中医药特色诊疗中心中医疼痛科,挂号指南看这里!
2026-01-27红会医院以“防促结合”持续参与“369赶大集”获社区授誉
2026-01-22西安市红会医院提醒:雪天路滑,防摔伤是头等大事!