
西安市红会医院近日为一名踝关节融合术后患者完成了西北首例踝关节重建置换术,恢复了踝关节功能,让其踝关节焕发新生。

3月5日,记者在西安市红会医院(北院区)见到52岁的患者肖某玲,据其介绍,两年前她因为脊髓灰质炎出现足畸形,疼痛难忍,走不了路,就诊于西安市红会医院足踝外科诊疗中心主任梁晓军处。当时,梁晓军给出了两种治疗方案:融合或置换,都是解决疼痛的办法。
踝关节融合是将踝关节的骨头固定在一起,减少关节面活动摩擦,缓解疼痛,但会导致关节功能丧失,让脚变得僵硬。梁晓军推荐肖某玲进行踝关节置换。考虑到置换要用人工假体,使用寿命可能只有十多年,费用也不低,肖某玲选择了传统的融合术。

“当时想一次到位,把疼痛解决了就行。后悔!选错了。”肖某玲追悔莫及。她说,融合术很成功,术后不疼了,也可以走路了。可关节融合后,她的脚变得僵硬,失去了活动功能。“要说有多大影响,也没有,不疼,能走,但上下楼梯不利索,睡觉翻身也别扭。”肖某玲说,术后看着自己的脚,她心里总不舒服,就像是活人长了一个死人的脚,直直的,心里也有了阴影。


后悔当初的选择,肖某玲又找到梁晓军,希望把她融合的关节拆开重做手术。梁晓军说,肖某玲提出的这种手术在国际上都很少见,手术需要将之前已经融合得严丝合缝的骨头重新打开,并进行进一步修复,置换,过程非常复杂,需要非常精细的操作和极其先进的手术技术。此外,手术可能带来较大的创伤和风险。即便如此,肖某玲的手术意愿还是很强烈。考虑再三,梁晓军才下决心安排手术。

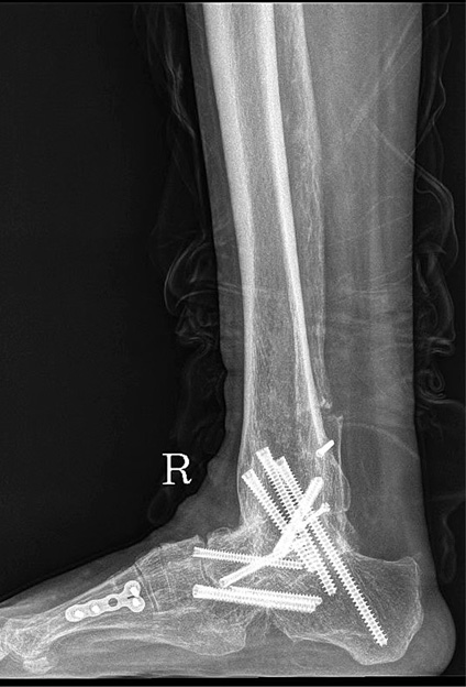
为最大限度提升术后效果,梁晓军为患者进行了全面完善的术前检查和准备。2月28日,肖某玲迎来了手术日。手术打开已经生长在一起的骨头,将原来的内固定取出,重新松解周围软组织、定位踝关节开放截骨线,最后将人工假体成功植入。“融合术后原来的两块骨头就变成一块了,要重新找到关节面,精确打开,再松解周围组织,手术要求非常高,好在手术顺利完成了。”梁晓军说,术后,肖某玲的踝关节就可以重新活动了。(卫晓康)
院内新闻
西安市红会医院2026年秋季进修班招生公告
2026-04-30新居焕新暖人心,两箱绿萝寄情深|康复神经脊柱病区喜迁新址,医患温情双向奔赴
2026-04-29西安市红会医院2026年度政工专业任职资格参评人员名单公示
2026-04-14【科室调整通知】原康复医院疼痛科升级为中医药特色诊疗中心中医疼痛科,挂号指南看这里!
2026-01-27红会医院以“防促结合”持续参与“369赶大集”获社区授誉
2026-01-22西安市红会医院提醒:雪天路滑,防摔伤是头等大事!