
【#西安红会医院医生堵住漏洞为两名咯血患者止血#】2月4日,@西安市红会医院官微 介入诊疗中心联合全科医学科、急诊医学科、介入手术室成功为两名患者行支气管动脉栓塞术解决咯血问题。
患者刘先生(化名),间断咯血2个多月,曾于多家医院就诊疗效不佳,咯血情况越来越重。患者及家属经多方了解,前往西安市红会医院全科医学科就诊,完善相关检查后,医生诊断刘先生为“支气管扩张伴感染”。全科医学科张铭主任医师在抗感染、辅助排痰等治疗基础上,组织开展MDT-多学科讨论,介入诊疗中心吴智群教授团队提议实施支气管动脉栓塞术解决患者咯血症状。
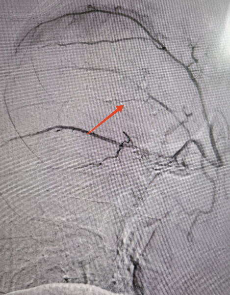
吴智群教授团队在术中影像科段永超主任团队以及薛婧主管护师的积极配合下,为患者行“支气管动脉造影+栓塞术”,术后患者咯血症状立即改善。
张先生(化名)是一名年轻小伙儿,平时工作忙,感冒后未能得到充分休息,在断断续续咳嗽两周后,张先生突然出现大量咯血情况,急忙就诊于西安市红会医院急诊医学科。急诊医学科王彦军主任医师、高淅副主任医师仔细为患者查体、检查,考虑是肺部感染导致支气管动脉损伤,从而出现咯血。
经过多学科讨论,2月4日下午,西安市红会医院介入诊疗中心吴智群教授团队为小伙儿行支气管动脉造影,术中可以看到患者右肺有明显的出血点,给予栓塞后张先生马上不再咯血。术后第1天,张先生精神状态明显好转,术后第3天已经开开心心回家。
咯血常见病因:
咯血是指喉部以下呼吸气道或肺实质内出血,经口腔或鼻腔排出。它通常是由于肺部疾病引起,如肺癌、肺结核、支气管扩张等。如果不及时治疗,咯血可能导致严重贫血、失血性休克,甚至危及生命。
介入治疗是一种微创的治疗方法,通过导管技术将药物或栓塞剂直接送达出血部位,从而达到止血的目的。相较于传统治疗方法,介入治疗具有以下优势:
1. 微创:介入治疗无需开胸手术,仅需局部麻醉,大大减少患者痛苦和恐惧感。
2. 高效:介入治疗止血效果显著,对于顽固性咯血患者,治疗效果尤为突出。
3. 恢复快:介入治疗仅需局麻下穿刺一小口,不良反应少,患者恢复较快。



院内新闻
西安市红会医院2026年秋季进修班招生公告
2026-04-30新居焕新暖人心,两箱绿萝寄情深|康复神经脊柱病区喜迁新址,医患温情双向奔赴
2026-04-29西安市红会医院2026年度政工专业任职资格参评人员名单公示
2026-04-14【科室调整通知】原康复医院疼痛科升级为中医药特色诊疗中心中医疼痛科,挂号指南看这里!
2026-01-27红会医院以“防促结合”持续参与“369赶大集”获社区授誉
2026-01-22西安市红会医院提醒:雪天路滑,防摔伤是头等大事!