
诊间故事|“屁 股疼”半年多 真相竟是骨盆瘤?6招来自查
臀部疼痛持续10个月
走起路来一跛一跛
……
没想到
竟然是骨盆长出巨大肿瘤?
恶性肿瘤位置复杂 压迫坐骨神经、盆腔血管
42岁女子小王(化名)因右侧臀部出现疼痛,伴功能障碍半年多,来到西安市红会医院就诊,完善CT及MR检查发现,右侧坐骨巨大肿瘤,肿瘤后侧缘紧紧压迫坐骨神经、盆腔血管;内侧缘及前缘临近直肠、阴 道、尿道等盆腔内脏器仅6-9mm。患者接受病灶穿刺活检,病理结果显示为右侧坐骨软骨肉瘤2级。

(术前核磁共振显示骨盆肿瘤)
骨盆巨大肿瘤 解除与重建的双重挑战
骨盆肿瘤是骨肿瘤治疗的难点,骨盆为软骨肉瘤常见发病部位,临床上针对骨盆软骨肉瘤主要采用手术治疗,但因骨盆解剖结构复杂,恶性肿瘤位置深在,涉及多个重要脏器及血管、神经组织,一直是骨盆肿瘤手术的棘手难题。骨盆恶性肿瘤切除、重建难度较大,精细的术前规划是影响手术成败的重要因素。
3D打印+数字化模拟 助力肿瘤精准切除
杨团民主任医师带领团队反复讨论,结合患者的病理结果,通过术前数字化模拟,决定在肿瘤与髋臼侧,距离肿瘤上缘约1cm处截骨,切除约1/4髋臼,即右侧骨盆部分II区+III区切除,在肿瘤完整切除的情况下,尽可能多的保留患者髋臼部位,提高了疗效也改善预后。

(术前数字化模拟肿瘤大小及部位、3D打印设计导板辅助术中截骨,手术效果更精确)
制定个体化诊疗方案 重建患者骨盆功能

(如图所示三者高度吻合,手术按计划完成)

通过术前规划手术路径及肿瘤切除范围,以及重要部位的精准参数,西安市红会医院骨病肿瘤科为患者制定了个体化治疗方案,杨团民主任医师主刀顺利实施了“右侧坐骨软骨肉瘤瘤体切除、血管、神经探查、髋臼周围重建术”,肿瘤完整切除,体积约9cmx8cmx6cm。剖开标本显示肿瘤浸润边界距离正常髋臼侧骨组织1cm,肿瘤边界切除精准。
术后患者的下肢神经功能无损伤,经过改善贫血、纠正低蛋白,患者大小便功能逐步恢复,王女士康复良好,对手术疗效表示十分满意。


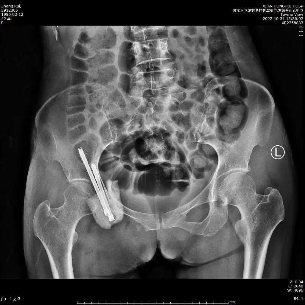
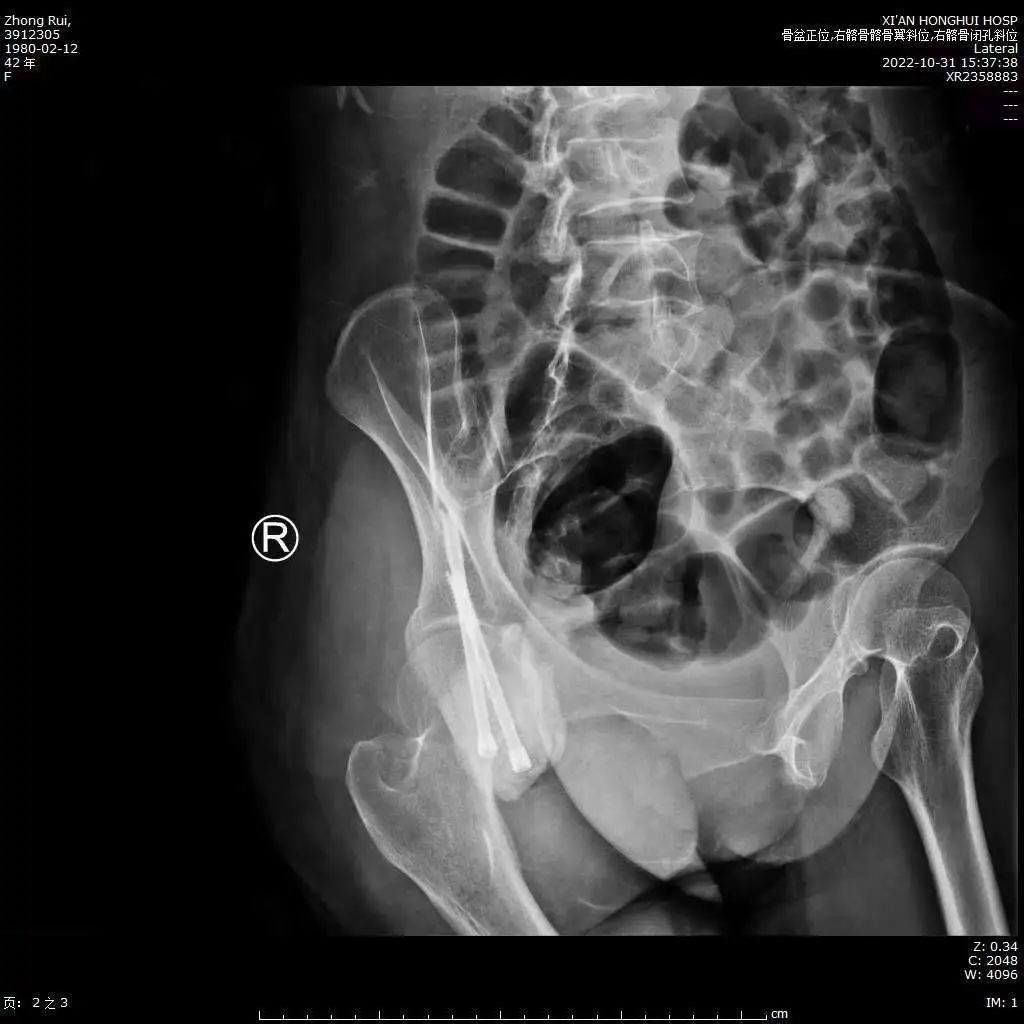
(术后X线显示髋臼周围重建良好)

(髋臼周围瘤体切除术后重建影像资料)
骨盆肿瘤如此“深藏不露”
自检尤其重要
发现身体出现以下异常千万别忽视
任其发展可能酿成大祸!
识别骨盆肿瘤,读懂这些信号?
1骨盆部位髋关节活动后疼痛
早期骨盆肿瘤患者可能会感到骨盆区域疼痛或压迫感,尤其出现进行性加重的髋关节疼痛不适,行走活动后疼痛,有时可能会误认为是普通的肌肉损伤。严重者出现髋臼周围骨折时,出现活动受限,不能活动或者踩地行走。

2触及包块
在疼痛发生前或发生后,患者常常无意间触及位置较深的包块,质地较硬,按压移动性差,大多不伴随疼痛,较深的发生了一定的时间后,患者出现固定不动的软组织硬块,表层光洁或是凸凹不平。
3腿疼、腰背痛
骨盆肿瘤位置较深,不易早期发现,出现症状时往往比较严重,可能会引起腰痛或下腰痛,这种痛感经常会从腰部开始向臀部和下肢扩散。患者往往以为腰椎间盘突出引起的疼痛,而延误诊疗。
4排便异常
早期骨盆癌患者可能会出现排便异常,如便秘、腹泻或大小便不适等症状。
5小腿水肿
当骨盆肿瘤体积增大,出现压迫症状时,影响到下肢静脉回流时,出现下肢肿胀或水肿,出现附近淋巴结转移时,也可能会导致小腿或脚有水肿。
6全身症状
由于骨盆癌会影响身体的代谢功能和免疫系统,患者可能会出现失眠烦躁、食欲不振、疲劳、消瘦等症状。
如果您出现上述不适症状
并不意味着你得癌症了
但如果它们
持续2周或更长的时间
要提高警惕
尽早到正规医院检查就诊哦!!
科室介绍
骨病肿瘤科以诊治四肢和骨盆先、后天性畸形、骨与软组织肿瘤及瘤样病变为主的专科科室。开设床位49张,医师15名,护士13名。年门诊量15000余人次,年收住患者1300余人次,年平均手术1000余例,三四级手术占比85%。
诊疗范围:骨与软组织的良、恶性肿瘤及转移瘤的综合评估与治疗;对复杂的骨纤维结构不良等骨病以及四肢的恶性肿瘤的诊疗方面具有丰富经验,现已常规开展髋、膝、肩、肘等四肢恶性肿瘤切除重建术以及规范化开展各类恶性骨肿瘤新辅助化疗,使得诊疗规范化、合理化。亦在骨盆和骶骨肿瘤的诊断及外科治疗方面不断探索,积累了一定的经验。
院内新闻
西安市红会医院召开新任、轮岗中层干部暨关键岗位人员警示教育培训会
2025-11-04健康警报丨突发胸闷心慌濒死感 竟是急性焦虑在作祟
2025-11-04健康同行丨西安市红会医院开展多学科联合送健康义诊活动
2025-11-04义诊活动 | 西安红会医院专家赴周至县南大坪村进行重阳义诊
2025-11-04卷土重来 | 大龄患者垂体瘤复发 神经外科医生精准 “拆弹”
2025-11-04攻克难题 | 西安市红会医院成功为复杂冠脉病变患者实施ECMO支持下的介入手术