近日,西安市红会医院口腔科迎来一位“愁容满面”的患者,该患者仅仅因一颗牙齿的缺失,某诊所医生便将其上半口牙齿全部磨小,结果戴牙后经常牙齿疼痛,牙龈出血,口腔异味明显,严重影响了患者的日常生活及社交。
患者辗转来到了西安市红会医院口腔科找到了高主任,高主任耐心地安抚患者情绪,给予了患者信心。经过一系列临床检查、辅助检查、术前分析等,为患者去除了原有的不良修复体,并重新调整牙体外形。经过一周的等待,为患者戴上上半口全瓷牙联冠,患者终于露出了久违的笑容。

经过一段时间的戴牙体验,患者感觉特别满意,又来到口腔科,要求“更换”其下半口不良修复体。

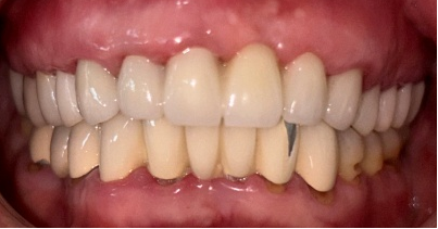
下颌33-46烤瓷联冠

下颌33-46全瓷联冠
西安市红会医院口腔科高主任说:患者的满意是我们最大的心愿,看到患者脸上展现的完美笑容比任何装饰都美丽。
院内新闻
西安市红会医院2026年秋季进修班招生公告
2026-04-30新居焕新暖人心,两箱绿萝寄情深|康复神经脊柱病区喜迁新址,医患温情双向奔赴
2026-04-29西安市红会医院2026年度政工专业任职资格参评人员名单公示
2026-04-14【科室调整通知】原康复医院疼痛科升级为中医药特色诊疗中心中医疼痛科,挂号指南看这里!
2026-01-27红会医院以“防促结合”持续参与“369赶大集”获社区授誉
2026-01-22西安市红会医院提醒:雪天路滑,防摔伤是头等大事!